Glossar

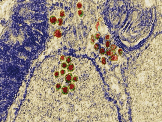
BVD-Virus