Knowledge Portal
HARTMANN SCIENCE CENTER
Visit our designated HARTMANN SCIENCE CENTER to get scientific information relevant around our products.
Learn more
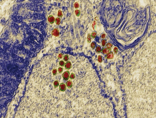
Bovine viral diarrhoea virus. Virus from veterinary medicine, does not trigger diseases in humans. Its morphology is similar to the one of Hepatitis C virus (HCV) and it grows well in cell culture systems. Hence, it serves as Surrogate virus to HCV. At the same time, it is one of the test viruses for testing activity against Enveloped viruses.
